
Двуплодная беременность случается, когда 2 яйцеклетки оплодотворяются и имплантируются в матку в течение одного менструального цикла. В результате такого зачатия могут родиться только мальчики, только девочки, или дети разного пола. Также есть близнецы, одинаковые внешне, но бывают и совсем непохожие друг на друга. Это зависит, в частности, от типа оплодотворения.
Сегодня фиксируется около 3 случаев близнецов на 100 беременностей. Однояйцевых близнецов – 1 из 250.

В основном разделяют, так называемых, однояйцевых и разнояйцевых близнецов. Определение не совсем корректное с точки зрения медицины. Правильнее будет следующая терминология в отношении двойни:

Есть и определения, более привычные для упоминания в народе. Ими мы и будем руководствоваться.
Так говорят о детях, которые выношены в одну беременность, но, как правило, отличаются внешне друг от друга. Это дихориальная, или разнояйцевая двойня.
У женщины в одну овуляцию выходит две яйцеклетки, и обе оплодотворяются сперматозоидом. У каждого плода образуется своя плацента с амниотическим мешком.
Малыши появляются одно- или разнополыми, иногда очень похожи внешне.

Однояйцевая двойня, или монохориальная двуплодная беременность, зарождается из одной оплодотворенной яйцеклетки, которая в процессе деления образует два эмбриона. Последние развиваются обычно в общей плаценте с двумя отдельными мешками.

У детей одинаковая ДНК, но под воздействием генетики они иногда различаются внешне.
Принято называть близнецами идентичных детей, (хотя это не всегда так). Даже родителям трудно их различить, но это разные личности. Иногда взгляды на жизнь у взрослых однояйцевых близнецов разнятся кардинально.
«Сверхоплодотворение» происходит, когда женщина во время беременности еще раз беременеет. Подобные состояния крайне редки. Как только яйцеклетка оплодотворяется и внедряется в полость матки, запускаются биологические процессы, препятствующие повторному оплодотворению в процессе вынашивания:
Но при суперфекундации продолжается овуляция, в очередном цикле из яичника выходит яйцеклетка, которую может оплодотворить сперматозоид. В таком случае в матке появляется два плода с разницей в возрасте в месяц.
Ученые доказали, что при определенном стечении обстоятельств женщина может выносить одновременно детей от разных отцов.

На ранних сроках УЗИ обычно не выявляет второй плод. В повторном ультразвуке врача и будущую маму уже ждет сюрприз.
Есть противоположное явление суперфекундации – самопроизвольный выкидыш одного плода из двойни. Происходит также на ранних сроках в 20 % двуплодных беременностей. Даже если на первом УЗИ фиксируется сердцебиение у двоих детей, на следующем может остаться один.
Бывает так, что у одной женщины полностью развиты две матки, и в каждой может вынашиваться по малышу. Такие случаи неоднократно зарегистрированы в медицине. Женщина может не знать о своей особенности, вплоть до наступления или даже родов.
Процесс и причины развития двух и более плодов до конца не изучен. Но есть факторы, повышающие вероятность рождения двойняшек.
Природные факторы:
Сторонние причины:
Коэффициент двуплодной беременности сильно возрос в последние годы в связи с репродуктивными технологиями:
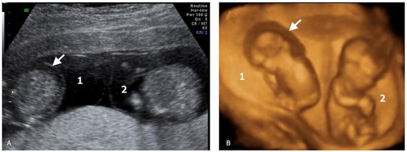
В первые 6-8 недель врач на УЗИ уже наверняка скажет тип близнецов (количество плаценты и амниотических пузырей). Это важные данные, которые нужно определить поскорее.

Есть и другие признаки, характерные для двуплодной беременности, которые женщина сама замечает:
При беременности с двумя плодами посещать акушера-гинеколога нужно чаще. Несмотря на то, что большинство рожениц справляются с вынашиванием и появлением на свет близнецов самостоятельно, повышен риск преждевременных родов, низкого веса и других осложнений.
Беременная двойней иногда вынашивает до 40 недель с момента последней менструации, но почти всегда это более ранние роды. Средняя продолжительность вынашивания двойни составляет 35 недель.
Плод развивается нормально в том случае, если у него есть собственный хорион и амнион (мешочек, в котором находится ребенок до рождения). Еще лучше для малыша, если он имеет и отдельную плаценту (неактуально для однояйцевых близнецов). В норме яйцеклетка начинает делиться в первые 3 суток после оплодотворения, тогда у каждого эмбриона образуется отдельный амниотический мешок с околоплодными водами.
Двуплодная беременность опасна, если запоздает начало деления яйцеклеток, вплоть до 13 суток. У таких плодов на двоих один общий хорион и амниотический мешок, они соприкасаются друг с другом. При неудачном стечении обстоятельств плоды сращиваются: зарождаются либо сиамские близнецы, либо дети имеют на двоих один орган (конечность).

Поэтому не пренебрегайте визитом к акушеру-гинекологу. Даже полностью здоровая женщина не застрахована от таких неприятностей. Каждый организм непредсказуем. Может потребоваться медикаментозное, и даже хирургическое вмешательство.
Если вы беременны двойней, учтите потенциальные проблемы, с которыми вы можете столкнуться.
До 60 % многоплодных беременностей разрешаются преждевременно, до 37 недель. Вагинальные роды не всегда возможны. Способ родоразрешения зависит от размера, положения и состояния здоровья детей, а также от размера и формы тазовых костей матери. Часто необходимо кесарево сечение.
Недонашивание – это огромный риск при рождении ребенка. Недоношенный малыш неспособен самостоятельно дышать, не развита пищеварительная система и другие органы.
Если вовремя принять меры, преждевременные роды можно отложить. Предвестники досрочных родов:
Сообщите акушеру-гинекологу о таких состояниях, чтобы предотвратить досрочное родоразрешение. Несколько дней вынашивания могут стать решающими для будущего ребенка.
Плацента прикреплена к стенке матки, а плод прикреплен к плаценте пуповиной, по которой получает кровь, кислород и питательные вещества. Плацентарная недостаточность замедляет рост плода, он рождается с малым весом и имеет меньше шансов на выживание.
Преэклампсия (гестоз) встречается в 2-5 раз чаще при многоплодной беременности. При вынашивании двойни преэклампсия встречается у 15-20 % женщин, сопровождается повышением артериального давления и белком в моче. Состояние может прогрессировать и угрожать здоровью матери и ребенка.
При трансфузионном синдроме в системе кровообращения плодов наступает анастомоз. Развивается при едином плодном пузыре (монохориальная двойня). Сосуды плодов связаны между собой. Один ребенок становится донором для другого. У донора замедляется развитие (развивается анемия, сердечная недостаточность), а у реципиента появляется избыточное количество жидкости, сердечные патологии, полиурия.
Возможна внутриутробная гибель плода, гипоксия.
Диагностируется ФФТС при помощи УЗИ, но иногда требуется и МРТ и амниоцентез.

Лечение – экстренное родоразрешение или лазерная коагуляция кровеносных сосудов, которые связывают кровообращение близнецов.
На протяжении беременности близнецы зачастую развиваются неравномерно, один отстает в развитии. Возможны пороки развития легких, мозга, недостаточность кровеносной системы. Недоношенность также может привести к ухудшению зрения или слепоте. Четверть близнецов нуждаются в интенсивной терапии после родов.
От респираторного дистресс-синдрома, вызванного незрелыми легкими, гибнут до 50 % новорожденных. Повреждение мозга является причиной почти 10 % случаев преждевременной смерти новорожденных. Врожденные дефекты и мертворождения составляют около 30 % смертельных случаев недоношенных близнецов.
В акушерстве беременность более, чем одним плодом, считается беременностью высокого риска, требует более частого и деликатного наблюдения. Вынашивание одновременно двух детей создает огромные нагрузки на все органы и системы организма матери: сердечно-сосудистую, пищеварительную системы, почки. Увеличивается объем крови в целом и в матке в частности. Меняется обмен веществ.
Женщине проводят больше обследований, и даже раньше дают декретный отпуск.
УЗИ также проводятся чаще: в зависимости от типа двойни и количества плацент – это 1 раз в 4 недели или каждые 2 недели.
Если двойня находится в головном предлежании, и головы лежат не на одном уровне, то без дополнительных патологий нет показаний к кесареву сечению. Но выбор всегда за акушером-гинекологом.
Дата публикации:
